PURExpress In vitro Protein Synthesis Kit

Zell-freie Proteinsynthese mit dem PURExpress In vitro Protein Synthesis Kit

Schneller geht‘s nicht – mit den PURExpress in vitro Protein Synthesis Kits erhalten Sie in nur 1 – 2 Stunden ausgehend vom ORF das korrespondierende translatierte Protein für analytische Studien oder weitere Aufreinigung!

Das PURExpress® In vitro Protein Synthesis Kit ist ein zellfreies Transkriptions-/ Translationssystem und besteht aus definierten, rekonstituierten und hochreinen Komponenten des E. coli Transkriptions-/ Translationsapparates.

Schneller & bequemer geht‘s nicht

Alle Proteinfaktoren sind rekombinant als His-tag Fusion hergestellt, die Ribosomen und tRNAs sind hochrein aus E. coli präpariert. Dadurch ist das System frei von kontaminierenden Exonukleasen, RNasen und Proteasen. Zur Expression mischen Sie einfach Lösung A und Lösung B und geben Ihre Template-DNA (als PCR-Produkt oder als Plasmid) dazu – fertig!

E6800c
Ihre Vorteile:
  • Zuverlässig: Definiertes System mit rekombinanten, hochreinen Komponenten zur Produktion Ihres Zielproteins ohne Abbau und Modifikation
  • Schnell: in wenigen Stunden vom Gen zum Protein
  • Vielseitig: erlaubt die Produktion von zell-toxischen Proteinen

Auch für „schwierige“ oder toxische Proteine

Bei unseren verschiedenen „Delta“-Kits haben Sie weitere experimentelle Möglichkeiten: Hier verwenden Sie z.B. Ihre eigenen Ribosomen-Präparationen, oder Sie geben modifizierte Aminosäuren oder tRNA zum Ansatz zur Herstellung von markierten Proteinen.

Bei gefalteten Proteinen mit Schwefelbrücken empfehlen wir die Zugabe des PURExpress Disulfide Bond Enhancer (PDBE).

Unabhängig von Wirtszellen

Das PURExpress System macht Sie unabhängig von Wirtszellen und ist sowohl für das akademische Einzelexperiment als auch für Hochdurchsatz-Plattformen ideal.

Dank der „kontaminationsfreien“ und reproduzierbaren Umgebung können Sie die Aktivität Ihres Zielproteins in einem nachfolgenden Assay direkt und ohne Aufreinigung messen.

Und falls Sie doch aufreinigen möchten:
Alle Protein-Komponenten des PURExpress Systems enthalten His-Tags für eine einfache IMAC. So fischen Sie bequem alle Protein-Komponenten des PureExpress Systems raus und Ihr Zielprotein fliesst durch.

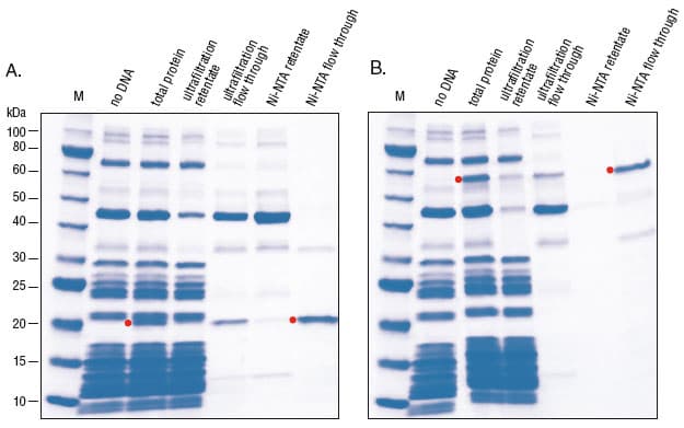
Expression und Aufreinigung von DHFR (A) und T4 DNA Ligase (B) mit PURExpress. 125 μl Reaktionen wurden nach Protokoll  durchgeführt. Die Samples wurden in einem  10-20% Tris-Glycin-Gel mittels SDS-PAGE aufgetrennt und mit Coomassie angefärbt. Die roten Punkte markieren das jeweilige „Protein of Interest“.  In beiden Fällen befindet sich das Wunschprotein in der Gesamtproteinfraktion. Marker M: Protein Ladder #P7703

Produkttabelle

PRODUKT Art. # GRÖSSE INFO
PURExpress® In vitro Protein Synthesis Kit E6800S 10 rxns In den Shop wechseln Produktinformationen
E6800L 100 rxns In den Shop wechseln Produktinformationen
PURExpress® Delta Ribosome Kit E3313S 10 rxns In den Shop wechseln Produktinformationen
PURExpress® Delta (aa, tRNA) Kit E6840S 10 rxns In den Shop wechseln Produktinformationen
PURExpress® Delta RF123 Kit E6850S 10 rxns In den Shop wechseln Produktinformationen
Passend dazu:
PURExpress® Disulfide Bond Enhancer E6820S 50 rxns In den Shop wechseln Produktinformationen
E. coli Ribosome P0763S 1 mg In den Shop wechseln Produktinformationen
Murine RNase Inhibitor M0314S 3.000 units In den Shop wechseln Produktinformationen
M0314L 15.000 units In den Shop wechseln Produktinformationen

Stand: 23.01.2024

Licenses: PURExpress® Disulfide Bond Enhancer (E6820) is licensed from BioComber (Tokyo, Japan) under Patent No. WO2005-105994. Commercial use of PURExpress® Disulfide Bond Enhancer requires a license from New England Biolabs, Inc. This product is intended for research purposes only. This product is not intended to be used for therapeutic or diagnostic purposes in humans or animals.

PURExpress Kit Components

IN VITRO PROTEIN SYNTHESIS
(E6800S)
▲ RIBOSOME
(E3313S)
▲ RF 123
(E6850S)
▲ (aa, tRNA)
(E6840S)
Solution A Solution A Solution A Solution A
(minus aa and tRNA)
Solution B Factor Mix Solution B
(minus RF1, RF2 and RF3)
Solution B
Control (DHFR) template Control (DHFR) template Control (DHFR) template Control (DHFR) template
Control Ribosomes RF1, RF2 and RF3 Amino Acid Mixture
E. coli tRNA

Weiterführende Informationen finden Sie unter Technische Ressourcen oder auf neb.com. Informationen zu Namensrechten finden Sie hier.